「みその総合歯科クリニック」札幌市豊平区美園の歯科医院

専門分野は専門医に
満足いただける治療を提供

患者様の思いをしっかりと受け止め、適材適所のドクターにより満足いただける治療を提供いたします。
md.jpg pxt00006972902601.jpg de_(5).jpg
歯科小児歯科
mid1.jpg chi_20210804230245548.jpg _1303-9364.jpg

信頼を積み重ねる医療を提供

当院は、お子様、ご年配の方問わず、幅広い年齢の方々へ安心して治療を受けていただけるよう、コミュニケーションを大切に対応しております。
 
定期検診やクリーニングを根本に、早期発見、早期治療をめざし、大切な歯を失うことのないようメンテナンス、治療を提供しております。
 
気になることがございましたら、お気軽にスタッフ、ドクターへお伝えください。
笑顔で治療を終えていただく事が私どもの喜びです。

口腔外科
kashiwabara.jpg oya_(2).jpg

口腔外科専門医による治療

口腔外科は歯のみではなく、顎関節、口腔粘膜の難治性口内炎、顎下腺・舌下腺などの唾液腺疾患を含め、口の中、あご、舌の疾患全般を対象に診断・治療を行っております。

 
お困りの事があれば、ご相談ください。

矯正歯科
pxt00007087889002.jpg m_stb.jpg kyo6.jpg pxt00007474086802.jpg

矯正専門医による治療

当院では、日本顎咬合学会・咬み合わせ認定医である院長と、矯正専門医である茶谷ドクターとの提携による、専門的な治療を提供することが出来ます。
 
咬むということの大切さ。
より良い口腔内環境を作り上げるために努力しております。
お気軽にご相談下さい。

定期検診クリーニング
pxt00006972902601.jpg cyo_(2).jpg pmt_20200602185409600.jpg dsc_0006.jpg

定期検診

当院では定期健診による、早期発見、早期治療、を推進しております。
定期健診を受けることにより、虫歯だけではなく、歯周病など歯茎のトラブルも早期発見、早期治療が可能です。
症状が出てからでは遅い歯科トラブル。
いつまでもご自身の歯で食事を摂り快適な生活を送るため、定期的に検診を受けましょう。 

 PMTC(クリーニング)

専門のトレーニングを受けた衛生士が、専用の器具を使って口腔内清掃を行います。
歯石・プラークはもちろんのこと、歯ブラシだけでは取れないバイオフィルムや、自分では取れないすき間に残った汚れを徹底的に除去します。
定期的にクリーニングを受けることにより、口腔内環境は良い状態に保たれます。
※バイオフィルム:むし歯や歯周病を引き起こす細菌のかたまり。

セルフケア

当院では、歯磨き指導はもちろんの事、様々な衛生用品をご用意し、皆様がご自宅で良好な口腔内環境を維持するためのセルフケアのご案内もしております。
歯科で用意する本格的なケア用品を是非お試し下さい。

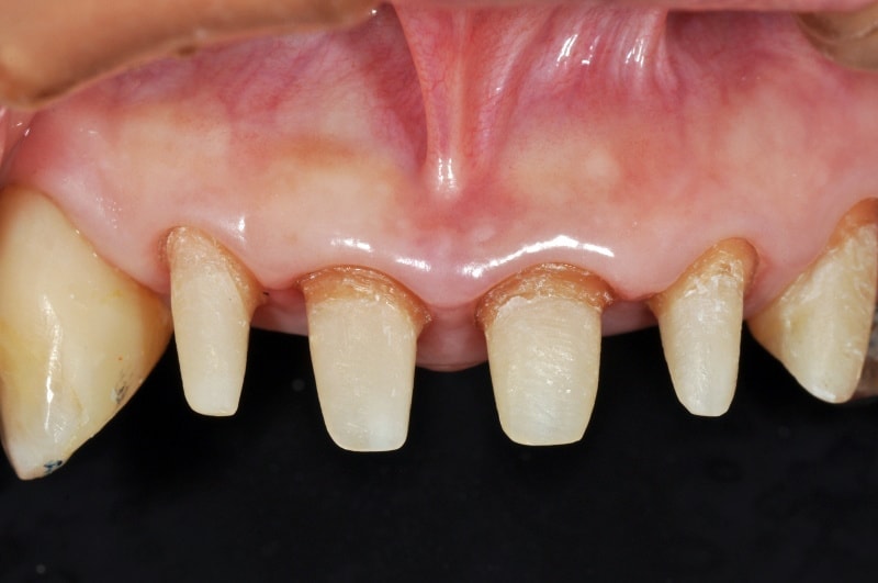
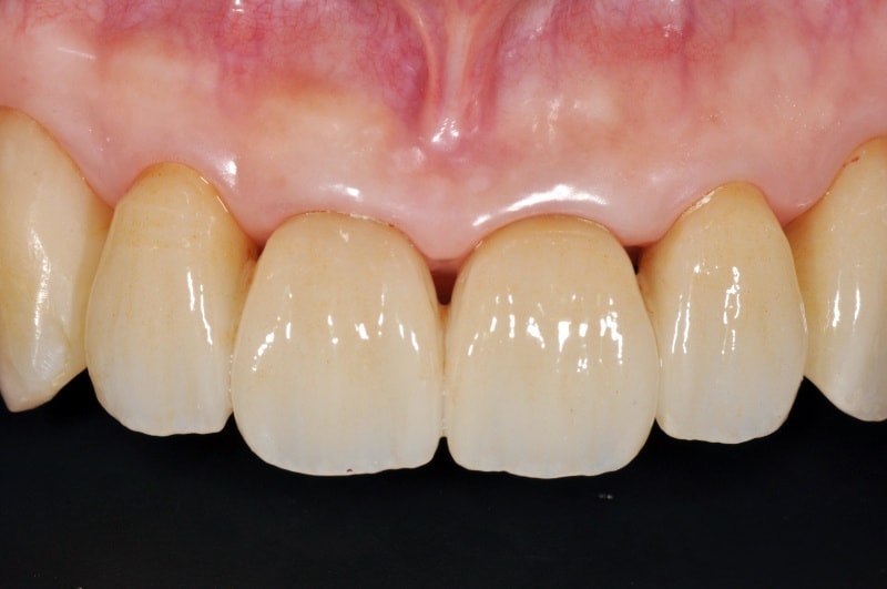
審美歯科

クリーニングはもちろんの事、歯の漂白剤を使用するホワイトニングやセラミックを使用した歯による審美治療も得意としております。
白く輝く口元は、見た目年齢に影響するのはもちろんの事、みなさんに好印象を与えます。
※審美治療は一部を除き保険外診療となります。
ホワイトニング
whi2_20201013224621236.jpg tio10_20201013224612038.jpg istock_000020730459large.jpg

ホームホワイトニング

マウスピースを使い、歯を薬品で浸して美白くするのがホワイトニングです。
美白剤の主成分は過酸化水素で、消毒薬のオキシドールとして知られています。
欧米では、すでに100万人以上の方がこの技術で歯を美白しています。
喫煙やコーヒー等の飲用による変色、老化、遺伝による黄ばみにも優れた効果があります。
ご自宅にて、お好きな時間に行っていただくことができます。 

オールセラミック
cera_(2).jpg e3.jpg c4.jpg c5.jpg em3.jpg  

内外共にセラミック素材にて製作

天然歯に近い自然な感じで見た目もよいです。
被せもの全体がガラスを主成分としたセラミックにて出来ているので透明感が高く色調もきれいです。
・本来の天然歯と同じか、それ以上の色調、形態を再現します。
・金属を使用しないため金属アレルギーの心配がありません。
・強度に優れているため、噛み合わせの強い方や、くいしばり、歯ぎしりをする方に有効です。
・非常に見た目が良く、ほとんど変色しません。
・汚れ(プラーク)が付きにくいです。
・歯と分子レベルで強固に接着するため、治療した部分から虫歯になりにくいです。
また、被せ物の土台であるコアの部分にもセラミックを使うと更に透明感が増し審美性が高いのはもちろんの事、歯が割れるなどのトラブルも少なくなります。

ファイバーコア
fc_(3).jpg c9.jpg c10.jpg

ファイバーコア

保険診療では「メタルコア」といって金属でできた土台が用いられます。
金属製なので土台自体は丈夫なのですが、歯根よりも硬すぎて弾力がないために、無理な力がかかると歯根が破折してしまうのが最大の欠点でした。
歯を失う原因として、ムシバや歯周病に続き、歯の破折が11%に及ぶと言われています。
これに対し「ファイバーコア」はグラスファイバーのピンで補強したプラスチックの土台で、硬さや弾力性が歯根に近いので歯根破折が起こりにくいのが特徴です。
さらに金属と違って素材の色が歯に近いため、透明感のある自然な被せ物ができ、金属アレルギーの心配もないというメリットがあります。

ジルコニアセラミック
em_(2).jpg im2_(2).jpg ce.jpg hc1.jpg

強くて美しい人工ダイヤモンド

ジルコニアとは宝飾によく使われている人工ダイヤモンドとして有名です。
軽くて強く、美しく、そして体にも優しいので人工関節などの医療にも使用されています。
高い強度と耐久性を兼ね備えているので、長期間お口の中で使用していただけます。
・強くて丈夫なので奥歯でしっかり物を噛める
・金属の約1/3の軽さなので歯にかかる負担も少ない
・まるで天然の歯!金属では出せない歯の白さ
・金属アレルギーの心配もありません
・元の自分の歯以上の美しさ

 ジルライトクラウン

最新鋭のコンピュータ機器(CAD/CAM)を使い、ジルコニアのブロックを削りだして作り上げる歯です。
デジタル化に伴う合理化により、オールセラミックスに比べ低価格で提供出来ます。
アレルギーもなく、審美性の高い白い歯です。

メタルボンド
mb4_20201017220309431.jpg mb1.jpg mb.jpg mb2.jpg

審美性が高く強度もあります。

中身が金属で、外から見える部分にのみセラミック等を貼り付けたクラウン(被せ物、差し歯)です。
見た目がよく、セラミックの場合は変色せず、強度も強いので非常によく使用されます。
・色が天然歯に似ているので見た目が良い。
・中身が金属なので強度が強く、ほとんどの部位に使用できる。
・中の金属に貴金属を使用することで、金属が溶け出すことによる歯ぐきの変色、金属アレルギーなどが起こる可能性を低くすることができる。

ハイブリッドセラミック
cru.jpg cru1.jpg em3.jpg in.jpg img20200429231110694790.jpg

優しい白い歯

セラミック(陶器)の粒子と、レジン(プラスチック)を混ぜ合わせて作ったものです。
セラミックよりもやわらかく、対合歯にも優しいというメリットがありますが色調は多少劣り、唾液を吸収し、経年的に変色します。
・色が白いので見た目が良い。
・硬すぎず、適度にすり減るので周囲の歯を傷めにくい。
・金属を使用していないので、金属アレルギーが起こらない。
・割れても修理しやすい。

コンポジットレジン
core.jpg cr.jpg cr1.jpg g1.jpg g.jpg

審美性の高い修復材

修復用コンポジットレジンとは、セラミック粒子と合成樹脂を合わせた複合プラスチック素材のことで、歯科では「CR」と呼ばれています。
歯科用高性能接着剤とCRを詰めた部分に照射器から放たれる特殊な光を3~10秒ほど当ててしっかりと固めます。
本物の歯に近い質感、色調、舌触りを可能にした歯の修復材で天然歯と同じような修復が可能です。

入れ歯

当院では、様々なタイプの入れ歯を提供しております。
お気軽にご相談ください。
保険対応入れ歯
ire7.jpg de1_(3).jpg

失った歯をの機能を復元

保険の入れ歯は使う材料の種類が限られているため、場合によっては残っている歯の色、形とのバランスが悪くなることがあります。
留め金があり、残っている歯を利用して入れ歯を固定するため、歯の状態によっては、笑ったときに見えたり、多少口の中で違和感があります。
樹脂製の義歯は割れやすいので、かなり厚くなっています。
また、熱を伝えにくい材質なので、食べ物の温度、味覚が感じにくくなります。

バネのない入れ歯
ire21_20201017231537781.jpg sm4.jpg sm10.jpg sm11_20201017231521811.jpg

入れ歯とわからない審美性

審美性を追及した、バネの無い入れ歯です。
入れ歯と気づかれにくく、思い切り笑っていただくことができます。
吸水性が低いので表面に雑菌が付きづらいため臭くなりにくく人体へのなじみも良いです。
また、金属アレルギーの心配もなく、快適で自然な審美性の高い入れ歯です。
 

コンフォート
comf.jpg comf2.jpg fcom.jpg

生体シリコン使用

硬い入れ歯の裏面を生体シリコーンというクッションで覆う入れ歯です。
生体シリコーンの弾性が、入れ歯でグッと噛んだときの歯ぐきにかかる負担をやわらげ、驚くほどの吸着力を発揮。
「痛い・噛めない・外れやすい」といった、従来の入れ歯の悩みを解消し、歯ぐきをやさしく守ります。
咬む力も2倍となり、食べ物をすり潰せるような強い力が実現するので、硬いものはもちろん、イカやステーキといった弾力性のあるものも、しっかり噛めます。
※噛む力には個人差があります。
 

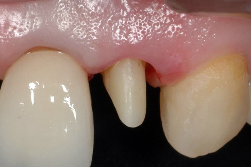
インプラント
imp4.jpg imp15.jpg impp16.jpg im4_(2).jpg im2.jpg

失った歯を自分の歯のように復元

インプラントとは、顎の骨に人工歯根となる金属を埋め込み、その金属を土台にして、天然の歯と同じような人工の歯を取り付ける治療方法です。
埋め込む金属に生体との親和性が高いチタンが使われる事が多く、チタンは長年の臨床研究でインプラントの素材として最も安全であり、また顎の骨としっかり結合することが確認されています。
天然歯のような見栄えだけでなく、これまでの入れ歯やブリッジでは満足することが難しかった「食べる・話す」という機能も回復できます。
 
インプラントは周りの歯を傷つけず、残った歯への影響が少ないため、自分の歯を多く残せます。
また顎の骨がやせるのを防げる効果もあります。
食べ物のカスが挟まったり、留め金が見えるといったこともないので、衛生面や見た目からも、天然歯自分の歯と同じようにきれいで美しい状態を保てます。

マウスピース
mau2.jpg mau3.jpg mau_20201018001559960.jpg

各種機能別マウスピースを取り扱い

当院では、各種マウスピースを取り扱っております。
・無呼吸症候群
・睡眠時の食いしばり、歯ぎしり
・スポーツマウスピースなど
お気軽にご相談下さい。